ADVANCED IMAGING CENTER
PHYSICIAN NEWS

February 28, 2000

HELICAL CT UROGRAPHY: State-of-the-art imaging of urinary calculi

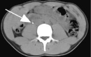
Left image is a pre-contrast transverse image showing a 3 mm calculus (arrow) in the region of the right ureter anterior to the psoas muscle.

Middle image is a post-contrast delayed image one slice higher showing a dilated ureter (arrow) proximal to the stone mentioned above.

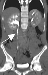
Right image is a curved coronal reconstruction urogram clearly showing partial obstruction with a dilated right ureter and collecting system (arrow) proximal to the stone.

Q.     Explain helical CT urography.

Helical CT imaging of the urinary tract, when properly performed, allows for rapid detection of urinary calculi, including renal, ureteral, and bladder calculi. Curved reformatted images allow for 4D/multiplanar visualization of the ureters, especially when dilated due to obstruction.

Q.     How is the study performed?

At AIC, we obtain 3 helical sets of high-resolution (3 to 5 mm) images through the urinary tract: (1) a precontrast set; (2) an immediate post-contrast set (arterial phase); and (3) a delayed phase, allowing for distinction between ureteral stones and arterial calcifications & phleboliths.

Q.     What is the advantage of multi-planar reformation?

This is performed on an Advanced 4D Silicon Graphics Workstation to produce "IVP-like" coronal sections depicting the course of the ureters as shown in the top right image.

Q.     What is the accuracy of CT compared to IVP for detection of urinary calculi?

CT is more accurate and much faster than IVP and should be the modality of choice for detection of urinary calculi.

For more information, or for any questions or concerns, please call me personally.

Ray H. Hashemi, M.D., Ph.D.
Director




| Home Page | Procedures | Certification | Radiologists | News Releases | FAQs | About Us | Location | Contact Us | 3D Gallery | Glossary | Frames |


ADVANCED IMAGING CENTER
43731 N. 15th Street West, Lancaster, CA 93534
Phone (661) 949-8111 - Fax (661) 949-6600